Skip to main content
Search
Main content
News

UK DRI researchers discover way to predict neurodegeneration following head injury

A team of researchers from the UK DRI have, for the first time, been able to accurately predict the extent of chronic neurodegeneration in people who have experienced traumatic brain injury, using an advanced type of MRI scanning. The results could help identify suitable candidates for clinical treatment trials, with the aim of preventing dementia post-injury.

Around 50 million people each year worldwide experience traumatic brain injury as a result of head injury. It is now widely recognised as a risk factor for dementia: in July, the Lancet added traumatic brain injury in mid-life to its list of modifiable risk factors for dementia, as part of an update to its Commission on dementia prevention, intervention and care.

However, the link between traumatic damage to the brain’s connecting nerve fibres (axons) and chronic neurodegeneration has never been well established in patients, and direct proof of it has until now been lacking.

In this study, published this week in the journal Brain, a research team led by Alzheimer’s Research UK Clinical Research Fellow Dr Neil Graham, and made up of scientists from the UK DRI’s Care Research and Technology Centre based at Imperial College London, together with colleagues from UCL, looked at a particular type of injury called diffuse axonal injury. This takes place when the shearing forces sustained during head injury damage or sever nerve fibres in the brain’s white matter. Such injuries may be sustained during falls, road traffic accidents, assault, blast or in the sporting setting.

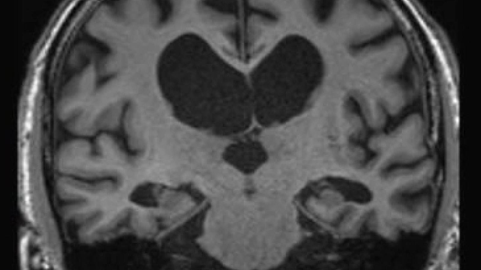
The research team took advantage of cutting-edge neuroimaging tools that are capable of sensitively and accurately showing the location and severity of injury, as well as the extent of brain shrinkage over time. This enabled them to test the hypothesis that the severity and location of diffuse axonal injury predicts the degree of progressive post-traumatic neurodegeneration. Brain shrinkage over time is a well-established measure of nerve degeneration in dementia.

~50 million

people each year worldwide experience traumatic brain injury as a result of head injury

If we can predict what changes might happen in the brain long after a head injury occurs, we are in a much better position to intervene than, say, if we wait 30 years until someone develops dementia.
Prof David Sharp
senior author of the paper and Director of the UK DRI’s Care Research and Technology Centre

Using advanced MRI scanning techniques, they investigated changes over time in 55 people in the chronic phase after moderate to severe traumatic brain injury, and compared them with 19 healthy controls. A first scan measured the size of the brain, and then a special type of scan (diffusion tensor imaging) was used to measure damage to the axons within the brain. Participants were scanned a year later to see where and how much the brain had shrunk in size, and how that related to the amount and location of axonal damage on the first scan.

They found that:

  • the amount of white matter damage measured at the first scan could be used to reliably predict shrinkage over the next year
  • this prediction was more accurate than currently available clinical measures 
  • the areas with the most shrinkage were those regions which had the greatest damage at the initial scan.
  • people with higher rates of brain shrinkage performed more poorly on memory tests  

The results showed that the extent and location of damage is a strong predictor of the amount and pattern of post-traumatic neuronal loss, which relates to memory performance. This suggests a causal link between axonal injury and the progressive neurodegeneration that is commonly seen after moderate to severe traumatic brain injury, the mechanics of which have not until now been fully established in patients.

The results suggest that, by assessing of the scale and location of diffuse axonal injury using imaging techniques, the risk of long-term neurodegeneration in any given individual can be more reliably assessed. This in turn will help to identify suitable candidates for clinical treatment trials, with the aim of preventing dementia post-injury.

Prof David Sharp, senior author of the paper and Director of the UK DRI’s Care Research and Technology Centre, commented:

“People often tend to think of brain injury as something that happens once, causes damage and then that’s the end of the story. But there’s more and more evidence to suggest that the picture is much more complicated than that. We now know that a single injury can trigger long-term processes that cause the brain to shrink over many years after the injury took place. A head injury can set in motion some of the hallmark processes of dementia, such as accumulation of harmful proteins. However, these processes are still poorly understood.

“We wanted to take advantage of advanced imaging technology to study the mechanisms linking brain injury and dementia. If we can predict what changes might happen in the brain long after a head injury occurs, we are in a much better position to intervene than, say, if we wait 30 years until someone develops dementia.”

Dr Neil Graham, first author and Alzheimer’s Research UK Clinical Research Fellow based at the UK DRI’s Care Research and Technology Centre added:

“With better tools for assessing brain health and measuring the long-term effects of single or repeated head injury, we can give people high quality information about the risks of different activities, and how this might relate to long-term dementia risk. It should be possible very soon to provide these assessments to patients with moderate to severe injuries in the NHS nationally, who could benefit from more accurate assessment of traumatic brain damage and prognostication. In addition, we hope the approach will provide a means of addressing some of the increasing concerns about the long-term effects of repeated mild injuries, for example in the sporting setting.”

Dr Sara Imarisio, Head of Research at Alzheimer’s Research UK, which funded the research and co-founded the UK DRI, said:

“From traffic accidents to collision sports, millions of people around the world experience head injuries every year. While these events can result in immediate damage to the brain, evidence suggests that they could also have significant effects in the longer-term. “This pioneering research funded by Alzheimer’s Research UK and carried out at the UK Dementia Research Institute uses state-of-art imaging techniques to predict a pattern for nerve cell loss. Ultimately, we hope this approach can more reliably assess the risk of long-term dementia and could be used to help prevent individuals from developing dementia post-injury in the future.

“This collaborative work would not have been made possible without our amazing supporters. The ongoing COVID-19 crisis and its economic fallout continue to put dementia research like this at risk. With Alzheimer’s Research UK expecting to lose up to 45% of income this year, we need to see government support for dementia research to ensure that vital progress is not lost. Nearly a year ago, the government promised to double funding for dementia research to over £160 million a year, and this election promise must now be put into action.”

Reference

Neil S N Graham, Amy Jolly, Karl Zimmerman, Niall J Bourke, Gregory Scott, James H Cole, Jonathan M Schott, David J Sharp, Diffuse axonal injury predicts neurodegeneration after moderate–severe traumatic brain injury, Brain, , awaa316, https://doi.org/10.1093/brain/awaa316

 

Article published: 30 October 2020

55 people

in the chronic phase after moderate to severe traumatic brain injury were analysed for changes to the brain using advanced MRI scanning techniques